Calcaneusfraktur - Brudd i Hælen
- Fysiobasen

- 14. feb. 2025
- 9 min lesing
En calcaneusfraktur er en skade på hælbenet og utgjør en sjelden type brudd som kan ha betydelige funksjonshemmende konsekvenser. Historisk ble dette kjent som "Lovers Fracture" fordi skaden ofte oppsto når noen hoppet fra høyder, som en balkong, for å unngå oppdagelse. Skaden er assosiert med aksial belastning, ofte etter fall fra høyder.[1]

Klinisk Relevant Anatomi
Forståelsen av calcaneusens anatomi er avgjørende for å identifisere skadeomfang, utvikle behandlingsmål og velge riktig intervensjon.
Generell anatomi
Calcaneus er det største talarbeinet blant de syv tarsalbenene og danner sammen med talus bakfoten. Calcaneus har en relativt tynn cortex og inneholder flere viktige anatomiske strukturer:
Fasetter:
Én fasett foran som artikulerer med cuboid og danner calcaneocuboidleddet.
Tre fasetter øverst (fremre, midtre og bakre). Den bakre fasetten er hovedansvarlig for vektbæring og artikulerer med talus i subtalarleddet, som muliggjør inversjon og eversjon av foten.
Sustentaculum tali: En medial benfremspring som støtter talusens hals.
Bløtvev: Tibialarterien, nervene, den bakre tibialsenen og fleksor hallucis longus-senen befinner seg medialt for calcaneus, mens peronealsenene er lokalisert lateralt. Disse strukturene kan bli komprimert eller skadet ved calcaneusfraktur.
Funksjonelle aspekter
Calcaneus spiller fire nøkkelroller:
Støtte: Gir fundament og støtte for kroppsvekten.
Lateral kolonne: Støtter fotens laterale kolonne og danner hovedleddet for inversjon og eversjon.
Leverfunksjon: Fungerer som en vektarm for gastrocnemiuskomplekset.
Gange: Gjør normal gangfunksjon mulig ved å stabilisere foten under vektbæring.
Viktige Anatomiske Markører
Leddbånd: Interossøst ligament samt mediale, laterale og posteriore talocalcaneale ligamenter bidrar til å stabilisere subtalarleddet.
Risiko for skade:
Mediale strukturer, inkludert tibialarterien og nervene, kan bli påvirket av mediale skader på calcaneus.
Laterale strukturer, som peronealsenene, er også utsatt, og den flate laterale siden brukes ofte som inngangspunkt ved kirurgiske fikseringer. Den laterale bløtvevsdekningen er imidlertid sårbar, noe som kan utfordre sårhelingen.[2][3]
Disse anatomiske egenskapene understreker kompleksiteten ved calcaneusfrakturer og viktigheten av å ivareta tilknyttede strukturer under både vurdering og behandling.
Epidemiologi/Etiologi
Forekomst
Calcaneusfrakturer utgjør 1-2% av alle frakturer og 60% av alle tarsalfrakturer[4]
Mindre enn 10% av calcaneusfrakturer er åpne frakturer.
Tidligere var denne skaden mer vanlig blant menn på grunn av industriarbeid, men nyere studier viser regionale variasjoner i fordeling mellom kjønn.[1]
Omtrent 75% av calcaneusfrakturer er intra-artikulære, og prognosen for disse er generelt dårligere enn for ekstra-artikulære frakturer.[4]
Calcaneusfrakturer hos barn er sjeldne. For aldersgruppen 8-14 år er 60% av frakturene ekstra-artikulære, og dette tallet øker til 90% hos barn under 7 år.[4]
20-25% av tilfellene med calcaneusfrakturer er assosiert med kompresjonsfrakturer i lumbale ryggvirvler.[5]
Demografiske trekk
De fleste pasientene med calcaneusfrakturer er unge, og aldersgruppen 20-39 år er mest berørt.
Risikofaktorer inkluderer:
Osteoporose
Diabetes mellitus
Perifer neuropati
Osteomalasi
Langvarig bruk av immundempende medisiner.[4]
Skademekanisme / Patologisk prosess
Vanlige mekanismer
Calcaneusfrakturer oppstår oftest som følge av høyenergitraumer, der benet utsettes for aksial belastning.[4]
Typiske mekanismer inkluderer:
Fall fra høyde (vanligst).
Bilulykker (der foten er presset mot gasspedal, bremse eller gulv).
Ankelskader som vrikking eller stressfrakturer hos løpere.
Hopping på harde overflater, stump eller penetrerende traume og vridnings-/skjærekrefter.[1]
Karakteristika ved skaden
Ved høyenergitraumer fungerer talus som en kile, som presser calcaneus ned og forårsaker depresjon, utflating, utvidelse og forkorting av calcaneal kroppen.
Skadene oppstår vanligvis isolert. 13,2% av tilfellene har samtidig skade på underekstremitetene, og 6,3% har ryggskader.[6]
Neurovaskulære skader er sjeldne da det bakre tibiale nevrovaskulære bunten ligger medialt og beskyttes av sustentaculum tali.[1]
Denne oversikten fremhever viktigheten av en helhetlig vurdering av skadeomfang, inkludert risikofaktorer, mekanismer og mulige samtidige skader.
Kjennetegn og Klinisk Presentasjon
Symptomer ved presentasjon
Pasienter med calcaneusfraktur opplever vanligvis følgende kliniske trekk, særlig etter en tidligere nevnt traumatisk hendelse:
Smerte og ødem: Diffus smerte og betydelig hevelse rundt det affiserte frakturområdet.
Bevegelses- og belastningsvansker: Pasienten er ofte ute av stand til å bære vekt, gå eller bevege foten.
Hevelse i hælområdet: Spesielt tydelig ved mer alvorlige frakturer.
Plantar ekkymose: Blodutredelser som strekker seg gjennom fotbuen, noe som sterkt øker mistanken om calcaneusfraktur.
Achilles-senens funksjonsnedsettelse: Kan være forbundet med frakturen og bør vurderes nøye.
Hudkvalitet: Hudens tilstand rundt hælen må evalueres, særlig for tegn på stramming eller truet hud, som er spesielt viktig ved Tongue-type calcaneusfrakturer.
Generalisert hælsmerte: Smerte som utvikler seg gradvis over dager eller uker, er vanligst ved stressfrakturer.
Deformitet av hælen eller plantar buen: Dette kan inkludere utvidelse eller bredere hæl, sekundært til lateral forskyvning av calcaneus.[6]
Undersøkelse
Palpasjon
Ømhet ved trykk på calcaneus: Smerte ved kompresjon av hælen fra begge sider kan indikere fraktur.
Squeeze-test: Positiv ved stressfraktur av calcaneus, hvor ømhet intensiveres ved kompresjon av hælområdet.[8]
Nevrovaskulær vurdering
En grundig nevrovaskulær undersøkelse er avgjørende:
Pulsundersøkelse: Sammenligne puls i dorsalis pedis eller posterior tibial på den affiserte foten med den motsatte foten.
Mistanke om arterielle skader: Videre undersøkelser med angiografi eller Doppler-ultralyd anbefales dersom arteriell skade mistenkes.
Funksjonsevaluering
Evaluering av alle sener i underekstremitetene, inkludert Achilles, for å identifisere nedsatt funksjon eller skade.
Vurdering av ryggfrakturer
Undersøkelse av ryggfrakturer er nødvendig, ettersom calcaneusfrakturer forårsaket av aksial belastning ofte er forbundet med kompresjonsfrakturer i ryggsøylen.[1]
Diagnostiske prosedyrer
Radiologisk undersøkelse
Røntgen:
Standardbilder: AP, lateral og skråbilder av foten og ankelen.
Harris view: Gir en aksial visning av calcaneus for å visualisere frakturer og anatomisk skade.
Axial: Viser primær frakturlinje og områder som calcaneus kroppen, tuberositet, og fasetter.
Lateral: Bestemmer Böhlers vinkel.
Oblique/Broden’s view: Illustrerer graden av forskyvning i primær frakturlinje.[2]
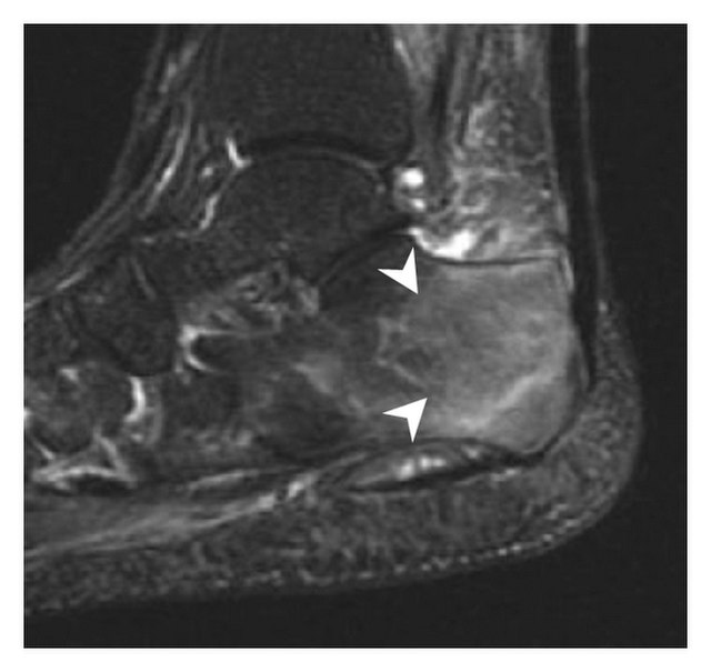
CT-skanning:
Gullstandard for vurdering av traumatiske calcaneale skader. CT gir detaljert innsikt i både frakturlinjer og tilhørende bløtvevsskade.
Scintigrafi eller MR:
Stressfrakturer: Anbefales for å identifisere mikrofrakturer og tidlige endringer som ikke er synlige på røntgen.
Referansevinkler og tegn i radiografiske bilder
Mondor’s tegn: Hematom langs fotsålen, synlig på CT, anses som patognomonisk for calcaneusfraktur.
Böhlers vinkel: Vinkel mellom linjene trukket fra:
Høyeste punkt på tuberositeten til høyeste punkt på bakre fasett.
Høyeste punkt på anterior prosess til høyeste punkt på bakre fasett.
Normal: 20–40°. Ved calcaneusfraktur kan denne vinkelen være redusert.
Critical Angle of Gissane: Vinkel mellom linjene som følger:
Den fremre nedadgående og bakre oppadgående hellingen på calcaneus.
Normal: 130–145°. Økning kan indikere fraktur.[1]
Klassifikasjon
Ekstraartikulære frakturer:
Utgjør 25 % av calcaneusfrakturer[4].
Inkluderer:
Avulsjonsfrakturer fra
Calcaneale tuberositet (Achilles’ sene)
Anterior prosess (bifurkatligamentet)
Sustentaculum tali.
Stressfrakturer.
Intraartikulære frakturer:
Utgjør 75 % av calcaneusfrakturer[4].
Involverer subtalare artikulerende flater. Ofte forårsaket av høyenergibelastning som kompresjon og skjærkrefter.
Klassifikasjonssystemer:
Essex-Lopresti klassifikasjon:
Joint Depression Type: Vertikal frakturlinje gjennom Gissanes vinkel.
Tongue Type: Vertikal frakturlinje med en ekstra horisontal linje bakover.
Sanders klassifikasjon: Basert på koronal CT.
Type I: Uforskyvde frakturer.
Type II: To artikulære fragmenter (A, B, C basert på plassering).
Type III: Tre artikulære fragmenter (AB, AC, BC).
Type IV: Fire eller flere fragmenter, svært fragmenterte.[1][3]
Behandling og Intervensjon
Behandlingsvalg
Avhenger av:
Frakturens pathoanatomi.
Skade på bløtvev.
Pasientens funksjonelle krav og komorbiditeter.
Konservativ behandling:
For stabile og uforskyvde frakturer.
Immobilisering med gips eller ortose.
Vektbæringsbegrensninger.
Operativ behandling:
Når frakturen er ustabil eller intraartikulær.
Teknikker inkluderer:
Åpen reposisjon og intern fiksering (ORIF).
Minimalt invasive prosedyrer for å redusere bløtvevsskade.
Primær artrodese ved alvorlig skade eller høy risiko for artrose.[12]
Ikke-operativ behandling
Ikke-operativ behandling foretrekkes når:
Det ikke foreligger påvirkning av peronealsenene.
Fraktursegmentene ikke er forskjøvet (eller er forskjøvet mindre enn 2 mm).[12]
Vektbærende justering er opprettholdt, og artikulerende flater ikke er forstyrret.
Ekstraartikulære frakturer generelt behandles konservativt.
Pasientgrupper som vanligvis behandles konservativt inkluderer:
Pasienter over 65 år.
Pasienter med underliggende helseproblemer som diabetes, nevrovaskulær insuffisiens eller alvorlige systemiske lidelser med immunsvikt.
Pasienter med lav etterlevelse, for eksempel på grunn av rusmisbruk eller dårlig prognose.[12]
Protokoll for ikke-operativ behandling
RICE-protokoll: Hvil (Rest), is (Ice), kompresjon (Compression), og elevasjon (Elevation) for å redusere hevelse og smerte.
Immobilisering: En gips, skinne eller ortose holder fotens bein i riktig posisjon mens de heler. Immobilisering varer vanligvis i 6-8 uker eller lenger, avhengig av oppfølgende radiografiske funn. Strengt vektbæringsforbud er pålagt i denne perioden.[13]
Operativ behandling
For mange pasienter med calcaneusfrakturer er kirurgi den anbefalte behandlingen, spesielt ved intraartikulære frakturer. Målet med kirurgi er å:
Gjenoppbygge calcaneums form og leddflater for å oppnå et funksjonelt resultat.
Redusere risikoen for posttraumatisk subtalar artrose.
Maksimere inversjon og eversjon av foten.[12]
Kirurgiske indikasjoner
Intraartikulære frakturer.
Ekstraartikulære frakturer med betydelig deformitet (>10° hindfot varus/valgus).
Frakturer med alvorlig breddeøkning, forkortning eller flating av hælen.
Alvorlige tilfeller som "tungefrakturer" (beak fractures) der calcaneale tuberositeter er sterkt forskjøvet. Dette er en kirurgisk nødsituasjon.[12]
Vanlige teknikker
Åpen reposisjon og intern fiksering (ORIF): Brukes for å rekonstruere frakturer og stabilisere beinsegmentene.
Minimalt invasive tilnærminger: Foretrukket for å redusere bløtvevskomplikasjoner.
Fysioterapeutisk behandling
Fysioterapi er en viktig del av rehabiliteringen etter både konservativ og operativ behandling. Målet er å:
Gjenopprette leddbevegelse, styrke og propriosepsjon.
Lindre smerte.
Gradvis gjenoppta vektbæring og funksjonelle aktiviteter.
Tiltak i fysioterapi
Immobilisering og vektbæringsbegrensning:
Immobilisering etterfulgt av gradvis introduksjon av vektbæring, avhengig av heling og kirurgisk suksess.
Leddmobilisering:
Manuell mobilisering for å gjenopprette bevegelighet og redusere stivhet.
Øvelser:
Bevegelsesøvelser: Fokus på ankeldorsifleksjon, plantarfleksjon, inversjon og eversjon.
Styrketrening: Retter seg mot leggmuskulaturen og små fotmuskler.
Propriosepsjon og balanse: Trening med ustabile underlag for å forbedre stabilitet.
Smertehåndtering:
Modaliteter som is og varme, elektroterapi og massasje.
Gangtrening:
Innføring av normal gangmønster med eller uten ganghjelpemidler.
Gradvis progresjon:
Fra grunnleggende øvelser til mer komplekse aktiviteter som plyometrisk trening.
Utfallet målt ved hjelp av utfallsmål
Lower Extremity Functional Scale (LEFS):
Måler funksjonelle evner i underekstremiteten.
Foot and Ankle Ability Measure (FAAM):
Evaluerer funksjonell kapasitet i fot og ankel under daglige og sportslige aktiviteter.
Riktig rehabilitering er avgjørende for å sikre best mulig funksjonelt utfall og minimere risikoen for komplikasjoner.
Før-Kirurgi Management
Effektiv forberedelse før operasjon for åpen reposisjon og intern fiksering (ORIF) av intraartikulære calcaneusfrakturer er avgjørende for et godt utfall.
Tiltak før operasjon:
Hevelsebehandling:
Umiddelbar heving av den berørte foten for å redusere hevelse.
Bruk av kompresjon som fotpumpe, intermittente kompresjonsenheter eller kompresjonsbandasjer etter toleranse.
Mobilitetsforberedelse:
Opplæring i bruk av rullestol og sengeoverføringer.
Instruksjon i krykkegange for ikke-vektbærende ambulasjon.[15][16]
Rehabilitering etter kirurgi
Både ikke-operativ og postoperativ behandling
følger tradisjonelle immobiliseringsprotokoller og tidlig mobilisering.
Fase I: Uke 1-4
Mål:
Redusere ødem og smerte.
Hindre forlengelse av fraktur eller tap av kirurgisk stabilisering.
Minimere tap av funksjon og kardiovaskulær utholdenhet.
Tiltak:
Immobilisering i gips med ankelen i nøytral stilling eller svak eversjon.
Heving og bruk av is for å kontrollere hevelse.
Tåbøy og aktiv bevegelighet i ankelen (dorsifleksjon/plantarfleksjon) fra første postoperative dag.[18]
Krykkegange eller bruk av rullator for ikke-vektbærende ambulasjon etter 2-4 dager.
Øvelser for overkroppen og ikke-affisert underekstremitet for å opprettholde generell styrke og utholdenhet.
Styrking av nærliggende ledd (hofte og kne).
Fase II: Uke 5-8
Mål:
Kontrollere gjenværende ødem og smerte.
Gradvis progresjon av vektbæring for å unngå reinjuries.
Forhindre kontrakturer og gjenvinne bevegelighet i ankel- og fotledd.
Opprettholde kardiovaskulær utholdenhet.
Tiltak:
Fortsatt bruk av heving, is og kompresjon etter behov.
Delvis vektbærende ambulasjon med krykker eller rullator etter 6-8 uker.
Intensiv bevegelighetstrening for alle ledd: tibiotalar, subtalar, midtarsal og tåledd.
Progressive isometriske og motstandsbaserte øvelser.
Videreføring av omfattende overkropps- og kardiovaskulært treningsprogram.
Fase III: Uke 9-12
Mål:
Progresjon til full vektbæring.
Normal gangfunksjon på alle overflater.
Gjenopprette full bevegelighet og styrke.
Muliggjøre retur til arbeid og tidligere aktiviteter.
Tiltak:
Fullvektbærende ambulasjon med nødvendige hjelpemidler fra uke 9-12.
Leddmobilisering for hypomobile ledd som tibiotalar, subtalar, midtarsal og tåledd.
Mykvevsmobilisering for stramme strukturer som gastrocnemius, plantar fascia eller andre relevante vev.
Progressiv styrketrening, inkludert tågange, trappegåing, plyometriske øvelser, bassengtrening og klatreøvelser.
Gradvis innføring av arbeidshardhetstrening for tilbakevending til arbeid (uke 13-52).
Implantat-fjerning
Implantater fjernes kun ved symptomer som fremspringende plater eller omfattende artritt med begrenset bevegelighet.
Fjernes vanligvis etter 1 år, kombinert med intraartikulær artrolyse og debridement via subtalar artroskopi.[12]
Denne tilnærmingen gir en grundig rehabiliteringsplan som balanserer immobilisering og gradvis progresjon mot full funksjon.
Kilder:
1. Davis D, Newton EJ. Calcaneus Fractures.
2. Joe Hodges PT, Robert Klingman. "Calcaneal Fracture and Rehabilitation."
3. Daftary A, Haims AH, Baumgaertner MR. Fractures of the calcaneus: a review with emphasis on CT. Radiographics. 2005 Sep;25(5):1215-26.
4. Galluzzo M, Greco F, Pietragalla M, De Renzis A, Carbone M, Zappia M, Maggialetti N, D'andrea A, Caracchini G, Miele V. Calcaneal fractures: radiological and CT evaluation and classification systems. Acta Biomed. 2018 Jan 19;89(1-S):138-150.
5. Bohl DD, Ondeck NT, Samuel AM, Diaz-Collado PJ, Nelson SJ, Basques BA, Leslie MP, Grauer JN. Demographics, mechanisms of injury, and concurrent injuries associated with calcaneus fractures: a study of 14,516 patients in the American College of Surgeons National Trauma Data Bank. Foot & Ankle Specialist. 2017 Oct;10(5):402-10.
6. Dhillon MS. Fractures of the calcaneus. JP Medical Ltd; 2013 Apr 30.
7. Fractures Of The Calcaneus - Everything You Need To Know - Dr. Nabil Ebraheim. Available from: https://www.youtube.com/watch?v=7LKOcB-wNrM [last accessed 6/24/2020].
8. Green DP. Rockwood and Green's fractures in adults (Vol. 1). Lippincott Williams & Wilkins; 2010.
9. Calcaneal Fractures Extra-articular Fractures - Everything You Need To Know - Dr. Nabil Ebraheim. Available from: https://www.youtube.com/watch?v=0TB0HMkgNXs [last accessed 6/24/2020].
10. Calcaneal IntraArticular Fractures Essex Lopresti - Everything You Need To Know - Dr. Nabil Ebraheim. Available from: https://www.youtube.com/watch?v=kHtWVGSlZeA [last accessed 6/24/2020].
11. Calcaneal Intra-Articular Fractures, Sanders - Everything You Need To Know - Dr. Nabil Ebraheim. Available from: https://www.youtube.com/watch?v=2eOo2QxdTbs [last accessed 6/24/2020].
12. Rammelt S, Sangeorzan BJ, Swords MP. Calcaneal fractures—should we or should we not operate?. Indian Journal of Orthopaedics. 2018 Jun;52:220-30.
13. Fischer JS, Lowe AJ. Calcaneus (heel bone) fractures. [Accessed 5 December 2016].
14. Takasaka M, Bittar CK, Mennucci FS, de Mattos CA, Zabeu JL. Comparative study on three surgical techniques for intra-articular calcaneal fractures: open reduction with internal fixation using a plate, external fixation, and minimally invasive surgery. Revista Brasileira de Ortopedia (English Edition). 2016 May 1;51(3):254-60.
15. Griffin D, Parsons N, Shaw E, Kulikov Y, Hutchinson C, Thorogood M, Lamb SE. Operative versus non-operative treatment for closed, displaced, intra-articular fractures of the calcaneus: randomised controlled trial. BMJ. 2014 Jul 24;349:g4483.
16. Lance EM, Carey EJ, Wade PA. Fractures of the Os Calcis: Treatment by Early Mobilization. Clinical Orthopaedics and Related Research (1976-2007). 1963 Jan 1;30:76-90.
17. Hu QD, Jiao PY, Shao CS, Zhang WG, Zhang K, Li Q. Manipulative reduction and external fixation with cardboard for the treatment of distal radial fracture. Zhongguo Gu Shang = China Journal of Orthopaedics and Traumatology. 2011 Nov;24(11):907-9.
18. Zhang G, Ding S, Ruan Z. Minimally invasive treatment of calcaneal fracture. Journal of International Medical Research. 2019 Aug;47(8):3946-54.








