Smith’s fraktur
- Fysiobasen

- 30. juni
- 4 min lesing
Smith’s fraktur er et brudd i distale radius som oppstår ved fall på dorsalsiden av hånden – altså med bøyd (flektert) håndledd – og resulterer i volar dislokasjon av bruddfragmentet. Skaden omtales ofte som en “omvendt Colles-fraktur” og ble først beskrevet av den irske kirurgen Robert William Smith i 1847. I fransk litteratur kalles den gjerne Goyrand-fraktur¹.

Årsak og skademekanisme
De vanligste utløsende årsakene er fall på bøyd håndledd eller direkte traume mot håndleddets bakside. Dette kan skje ved:
Snubling forover under gange
Fall bakover
Sykkelvelt eller annen fritidsulykke
Skademekanismen involverer en aksial kraft gjennom håndleddet som tvinger radius fremover (volart), og fører til at distale bruddfragment glir fremover i forhold til skaftet² ³.
Epidemiologi
Distale radiusfrakturer er de vanligste bruddene i overekstremiteten og den nest vanligste frakturen blant eldre. Smith’s fraktur utgjør om lag 5 % av alle radial-/ulnare frakturer¹.
Unge menn rammes oftest etter høyenergitraume
Eldre kvinner er utsatt etter lavenergiskader, ofte relatert til osteoporose
Klassifisering

Smith-frakturer deles inn i tre typer¹:
Type I: Ekstra-artikulær fraktur, vanligste formen (~85 %)
Type II: Intra-artikulær skråfraktur (også kalt “revers Barton-fraktur”), ca. 13 %
Type III: Sjeldnere, juxta-artikulær skråfraktur (<2 %)
Klinisk presentasjon
Pasienter med Smith’s fraktur opplever ofte smerte, hevelse og nedsatt bevegelighet i håndleddet. Volar dislokasjon er ikke alltid lett å se, men funn inkluderer:
Hevelse og synlig deformitet på volarsiden
Prominens av ulna på dorsalsiden
Redusert aktiv og passiv bevegelighet
Smerte ved palpasjon over distale radius
Frakturen er ofte forbundet med skader på:
Distale radioulnarledd (DRUJ)
Triangulær fibrocartilago-kompleks (TFCC)
Ulnar processus styloideus
Nevrovaskulær undersøkelse er viktig, da opptil 15 % kan ha akutt karpaltunnelsyndrom ved medianus-kompresjon. Kompresjon av radialis- og ulnarisnerven er sjeldnere, men forekommer. Akutt kompartmentsyndrom i underarmen er en alvorlig og potensielt livstruende komplikasjon¹.
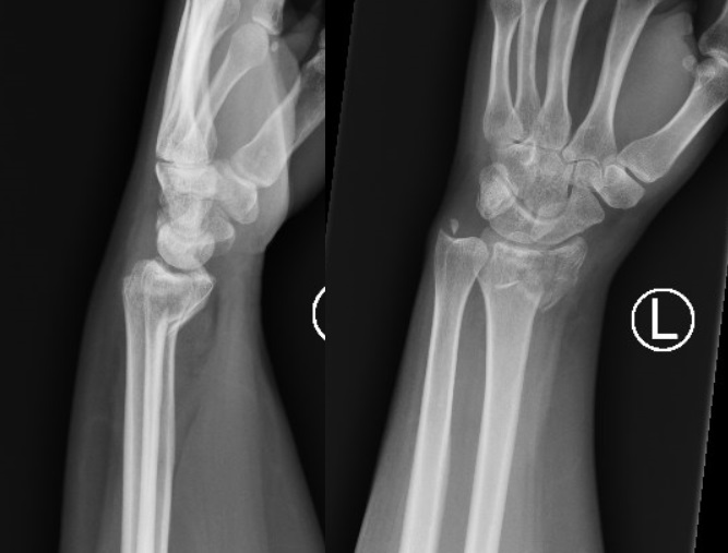
Diagnostikk

Røntgen (AP og sidebilde) bekrefter diagnosen og viser:
Brudd i distale radius med volar vinkling
Grad av dislokasjon, vinkling og eventuell leddaffeksjon
Tilstand i radiolunat og radioskaphoid-ledd
Tilleggsbilder (skråbilder, traksjonsbilder) kan være nyttige ved mistanke om tilknyttede bløtvevsskader.
CT anbefales ved intraartikulære eller knusningsbrudd for bedre vurdering og preoperativ planlegging¹.
Differensialdiagnoser
Colles’ fraktur: Dorsalt dislokert ekstra-artikulær radiusfraktur
Barton-fraktur: Intra-artikulær fraktur med dorsal dislokasjon
Reverse Barton-fraktur: Intra-artikulær med volar dislokasjon (type II Smith)
Die-Punch fraktur: Inndratt leddflate over lunatum
Chauffeur’s fraktur: Avulsjonsfraktur av radialis styloid
DRUJ-skade: Instabilitet i det distale radioulnarleddet
TFCC-ruptur
Galeazzi-fraktur: Radiusfraktur med DRUJ-instabilitet¹
Funksjonsmål og evaluering
Utfall måles med både objektive og subjektive parametre:
Røntgenkontroll
Måling av bevegelsesutslag (ROM)
Greps- og klypekraft
Funksjonelle spørreskjema
Validerte måleverktøy:
DASH (Disabilities of the Arm, Shoulder and Hand): 30 spørsmål, lavere skår = bedre funksjon
Michigan Hand Questionnaire (MHQ): Måler 6 dimensjoner: funksjon, ADL, smerte, estetikk, arbeid og tilfredshet med håndfunksjon⁴
Komplikasjoner ved Smith’s fraktur
Malunion er en vanlig komplikasjon der radius gror med vedvarende volar vinkling eller forkortning, noe som kan gi en karakteristisk kosmetisk feilstilling kjent som garden spade deformity. I tillegg kan dette føre til innsnevring av karpaltunnelen og gi forsinket debut av karpaltunnelsyndrom. Eldre pasienter med lav benmasse har høyere risiko for slik dislokasjon til tross for korrekt immobilisering, og osteotomi kan bli nødvendig ved feiltilheling¹.
Medianuskompresjon kan oppstå, enten som følge av skade, eller i etterkant grunnet feilaktig eller overdreven bevegelsesterapi i fleksjon eller ekstensjon¹.
EPL-entrapment (Extensor Pollicis Longus) er en sjeldnere, men dokumentert komplikasjon, både ved konservativ og kirurgisk behandling. Sen ruptur av EPL forekommer også som et sent fenomen¹.
Kompleks regionalt smertesyndrom (CRPS) rapporteres i opptil 40 % av tilfellene og krever tidlig identifikasjon og forebygging¹.
Behandling

Konservativ behandling
Ved stabile og ikke-dislokerte frakturer benyttes lukket reposisjon med gips eller skinne. Reposisjon gjøres ved å reversere frakturens feilstilling med traksjon, og påfølgende gips i underarmssupinasjon og håndleddsnøytral eller lett ekstensjon⁵.
Reposisjon kan utføres med hematomblokade, regional nerveblokade eller lett sedasjon. AAOS anbefaler ukentlige røntgenbilder de første tre ukene etter reposisjon¹. Ved 2- eller 3-delte frakturer kan perkutan pinning (K-tråder) være et rimelig og effektivt alternativ. Dette frarådes ved dårlig benkvalitet eller komminusjon⁶. Risikoer inkluderer seneskader, nerveskader, pinneinfeksjoner og migrasjon¹.
Kirurgisk behandling
Operasjon er aktuelt når:
Det foreligger dorsal/volar komminusjon
Bruddet er intra-artikulært
Det er ustabilitet etter reposisjon
Vinkelfeil >20° eller >2 mm leddtrinn
Radiusforkortning >5 mm¹
ORIF med volar plate er anbefalt ved ustabile brudd. Det gir stabil fiksasjon, reduserer risikoen for ekstensorseneruptur og bevarer blodforsyningen til metafysen. Smertebehandling etter operasjon kan inkludere transdermal buprenorfin eller kodein/paracetamol, men opioider bør begrenses til akuttfasen.
Fysioterapibehandling
Immobiliseringsfase (4–8 uker ved stabile, 6–12 uker ved ustabile brudd)
Kryoterapi og elevasjon for smertereduksjon
Fingerbevegelser for å opprettholde sirkulasjon og lymfedrenasje
Skulder- og albuebevegelighet opprettholdes aktivt
Etter gipsfjerning
Varmebehandling (varmepakke eller parafinvoks) kombinert med kulde for venedrenasje og smertelindring
Manuell behandling (lett massasje og arrmobilisering)
Mobilitetsøvelser: f.eks. tegning, skriving, knapping, gripe små objekter
Styrketrening: isometriske øvelser for håndledd, grep, skulder og albue
Funksjonell bruk i ADL oppfordres fra tidlig stadium
Fallforebygging
Fallforebygging er avgjørende, spesielt hos eldre. Tiltak inkluderer:
Balanse- og gangtrening
Hjelpemidler ved behov
Hjemmetilpasning (fjerning av løse tepper, bedre belysning)
Vitamin D-tilskudd er anbefalt av AAOS for å forebygge CRPS hos pasienter med distale radiusfrakturer¹.
Prognose
Lukket reposisjon gir generelt god funksjon innen seks uker, men langsiktige resultater avhenger av skadens alvorlighetsgrad og valg av behandling. For idrettsutøvere er stabil fiksering, rask hevelseskontroll, tidlig mobilisering og funksjonell opptrening viktig for tidlig retur til aktivitet.
Kilder:
Schroeder JD, Varacallo M. Smith's Fracture Review. InStatPearls [Internet] 2019 Oct 1. StatPearls Publishing.
Matsuura Y, Rokkaku T, Kuniyoshi K, Takahashi K, Suzuki T, Kanazuka A, Akasaka T, Hirosawa N, Iwase M, Yamazaki A, Orita S. Smith's fracture generally occurs after falling on the palm of the hand. Journal of Orthopaedic Research. 2017 Nov;35(11):2435-41.
Andrew Murphy. Assoc Prof Frank Gaillard et al.Smith fracture. Radiopedia.https://radiopaedia.org/articles/smith-fracture
Ikpeze TC, Smith HC, Lee DJ, Elfar JC. Distal radius fracture outcomes and rehabilitation. Geriatric orthopaedic surgery & rehabilitation. 2016 Dec;7(4):202-5.
Emergency Care South Wales Smiths.https://www.aci.health.nsw.gov.au/networks/eci/clinical/clinical-resources/clinical-tools/orthopaedic-and-musculoskeletal/musculoskeletal-orthopaedic-guide/smiths#:~:text=Most%20commonly%20an%20extra%2Darticular,falling%20on%20a%20flexed%20wrist.
Glickel SZ, Catalano LW, Raia FJ, Barron OA, Grabow R, Chia B. Long-term outcomes of closed reduction and percutaneous pinning for the treatment of distal radius fractures. The Journal of hand surgery. 2008 Dec 1;33(10):1700-5.








